本文目录导读:
概述
人工关节是一种医疗技术,用于替换因疾病、损伤或其他原因而失去功能的关节,本步骤指南旨在帮助读者了解人工关节的相关知识,包括其必要性、种类、手术过程及术后康复,无论您是初学者还是进阶用户,通过阅读本文,您将了解如何完成人工关节手术任务或学习相关技能。
了解人工关节
1、必要性:人工关节手术通常用于关节炎、骨折不愈合、关节畸形等情况,以恢复关节功能,提高生活质量。
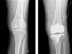
2、种类:人工关节分为全关节和半关节置换两种类型,全关节置换是指替换整个关节,而半关节置换仅替换关节的一部分。
3、材料:常见的人工关节材料包括金属、高分子塑料和陶瓷等。
术前准备
1、选择合适的医院和医生:选择具有丰富经验和良好口碑的医院和医生进行手术。
2、术前评估:进行全面的身体检查,确保身体状况适合手术。
3、停止服用药物:根据医生建议,停止服用非必要药物,如抗凝剂、阿司匹林等。
4、练习体位和呼吸:学习正确的体位和呼吸方法,以便在手术中保持舒适。
手术过程
1、麻醉:根据手术需要选择局部麻醉或全身麻醉。
2、手术切口:医生将在关节部位做一个切口,以暴露需要替换的关节。
3、骨骼准备:医生将切除受损的关节部分,并对骨骼进行修整,以便安装人工关节。
4、植入人工关节:将选择合适的人工关节植入骨骼中,确保其稳定性和合适的位置。
5、关闭切口:完成植入后,关闭手术切口,并进行必要的引流。
术后康复
1、疼痛管理:术后会有一定程度的疼痛,医生将开具药物以缓解疼痛。
2、物理治疗:在康复期间,进行物理治疗以帮助恢复关节功能。
3、活动限制:根据医生建议,避免过度活动,以免影响人工关节的稳定性。
4、定期随访:术后需定期到医院进行随访检查,以确保人工关节的状态和康复情况。
注意事项
1、饮食调整:术后需注意饮食,增加营养摄入,促进康复。
2、避免感染:注意手术部位的清洁,避免感染。
3、遵循医嘱:严格按照医生的指导进行康复,不要自行调整药物或治疗方法。
4、适当运动:在康复期间,适当运动有助于恢复关节功能,但避免剧烈运动。
进阶学习技能
1、学习更多关于人工关节的知识:通过阅读专业书籍、参加培训课程或在线学习,了解更多关于人工关节的知识,包括最新技术、并发症处理等。
2、了解其他关节疾病治疗方法:除了人工关节置换,了解其他治疗方法,如药物治疗、物理治疗等,以便更好地为患者提供服务。
3、提高手术技能:通过参与手术观摩、实践训练等方式,提高手术技能,为人工关节手术提供更专业的服务。
4、学习康复技能:了解物理治疗方法、康复训练技巧等,帮助患者更好地进行术后康复。
人工关节手术是一项复杂的医疗技术,需要专业的医生、先进的设备以及患者的积极配合,通过本步骤指南,读者可以了解人工关节的相关知识,掌握手术过程及术后康复技巧,初学者可以通过学习和实践不断提高自己的技能,为更多患者提供服务,进阶用户可以通过深入学习了解更多关于人工关节的知识和技术,提高自己的医疗水平,无论您是初学者还是进阶用户,都要注意遵循医嘱,确保手术成功和术后康复顺利。



京公网安备11000000000001号
京ICP备11000001号